エナメル質形成不全とは?見た目だけでなくむし歯リスクにも関わる歯の発育異常
「子どもの前歯に白いまだら模様がある」「奥歯の表面が黄色っぽく見える」そんな歯の色や質感の違いに気づいたことはありませんか?
それは‘‘エナメル質形成不全’’と呼ばれる状態かもしれません。見た目の問題だけでなく、むし歯のリスクにも深く関係するため、早めの発見と適切なケアが大切です。
エナメル質形成不全とは
エナメル質形成不全とは、歯の表面を覆うエナメル質(歯の最外層の硬い組織)が正常に作られなかったり、十分に石灰化されなかったりする発育異常のことです。
エナメル質は歯を外部の刺激やむし歯菌から守る重要なバリアですが、その形成が不十分だと、歯の色が変わったり、表面がざらついたり、部分的に欠けやすくなったりします。
主な原因
エナメル質形成不全は、乳歯や永久歯が作られる過程で何らかの影響を受けたときに起こります。原因はさまざまですが、大きく分けて以下の2つに分類されます。
全身的な要因(全身性形成不全)
お腹の中で育っている段階で歯の芽(歯胚)が作られる時期に、体全体に影響する要因があった場合に起こります。主な例は以下の通りです。
・高熱を伴う感染症(麻疹、肺炎など)
・低出生体重児・早産
・栄養不足やカルシウム、リン、ビタミンA、C、D欠乏
・出産時のトラブル(低酸素状態など)
・遺伝的要因(アメロジェネシス・インパーフェクタなど)
これらは特定の歯だけでなく、複数の歯にわたって影響が出るのが特徴です。
局所的な要因(局所性形成不全)
1本または数本の歯だけに見られる場合で、
・乳歯のむし歯や外傷による永久歯の歯胚への影響
・生え替わりの際の炎症や外傷
などが原因となります。前歯や第一大臼歯(6歳臼歯)に多く見られます。
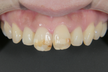
症状と見た目の特徴
エナメル質形成不全の症状は、その程度によって異なります。主な特徴は以下の通りです。
・歯の表面に白斑や黄色・褐色の変色がある
・表面がざらざら・凸凹している
・部分的にエナメル質が欠けている
・しみる、痛みを感じやすい
・むし歯になりやすい
特にエナメル質が薄い部分は象牙質が露出しやすく、冷たいものや甘いものがしみる知覚過敏を伴うこともあります。
放置するとどうなる?
エナメル質形成不全の歯は、表面が弱いためむし歯の進行が早い傾向にあります。
見た目の変色が軽くても、時間が経つと欠けやすくなったり、むし歯が内部で広がったりすることがあります。
特に永久歯の場合、一度失ったエナメル質は再生しないため、早めに歯科医院での診断と対処が重要です。
治療法
治療法は、形成不全の程度・部位・年齢によって異なります。
軽度の場合(色や質感の変化のみ)
フッ素塗布:歯質を強化し、むし歯予防効果を高めます。
Icon治療(アイコン):削らずに白斑を目立たなくする処置。
ホワイトニング:全体の色調を整え、見た目を改善。
中等度の場合(部分的に欠けている)
コンポジットレジン修復(プラスチックの詰め物):欠けた部分を樹脂で補い、自然な見た目に回復。
重度の場合(広範囲に欠けている・知覚過敏を伴う)
セラミックやクラウン修復:歯の形態と機能を回復。
神経治療が必要になる場合もあります。症状の進行を抑えるためにも、早期発見・定期管理が非常に重要です。
アイコン治療(削らない白斑治療)
軽度のエナメル質形成不全で、主に「白い斑点」や「まだら模様」が気になる方におすすめなのが、Icon(アイコン)治療です。
この治療はドイツで開発された“削らない”歯科治療として注目されており、エナメル質の表面を最小限に処理した上で、特殊な樹脂をしみ込ませて白斑を目立たなくします。
Icon(アイコン)治療の特徴
・歯を削らないため痛みがほとんどない
・麻酔が不要
・1回の来院で完了するケースが多い
・自然な色調に近づけられる
・歯質を強化し、むし歯予防にもつながる
従来、白斑や形成不全の変色を改善するには「削って詰める」「ホワイトニングでごまかす」といった方法が主流でしたが、
Icon治療は歯を削らずに“見た目も守る・歯も守る”という両立が可能です。
当院でも、軽度のエナメル質形成不全による白斑・変色には第一選択肢としておすすめしています。
予防と日常のケア

・定期的なフッ素塗布や歯面清掃
・むし歯リスクに応じた食生活指導(砂糖の摂取制限など)
・やわらかめの歯ブラシで丁寧にブラッシング
・口腔内を乾燥させないよう注意(唾液の力を活かす)
また、MIH(Molar Incisor Hypomineralization/第一大臼歯・切歯の石灰化不全)と呼ばれる近年増加傾向のタイプもあり、学校検診などで「歯の色がまだら」と指摘されるケースも多く見られます。
早めに歯科医院で相談することで、適切な処置や予防プランを立てることができます。
担当医からのコメント
エナメル質形成不全は、見た目の問題だけでなく、歯の健康寿命にも関わる大切なサインです。
「生まれつきだから仕方ない」と放置せず、早めの診断とケアを行うことで、将来的なむし歯や知覚過敏を防ぐことができます。
当院では、形成不全の程度に合わせて削らない治療(Icon治療)を行っております。
お子さまの歯やご自身の歯に気になる変色やざらつきがある方は、ぜひ一度ご相談ください。






