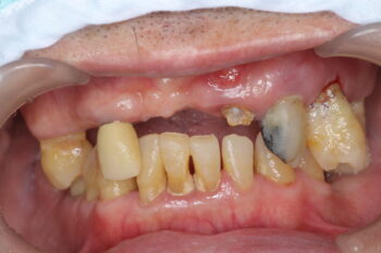
歯がボロボロで恥ずかしい方へ

「歯医者が苦手でむし歯を放置してたらボロボロになった…」
「過去の嫌な経験で歯医者が怖くて放置してしまっている」
「歯がボロボロで、人前で笑うのが恥ずかしい」と感じたことはありませんか?
歯の状態は見た目だけでなく、健康や自信に大きな影響を与えるものです。
歯がボロボロになってしまう原因には、むし歯や歯周病といった病気によるもの、歯ぎしり・食いしばりなどの習慣によるもの、そして過去に行った治療のトラウマで歯科医院に通えずに症状が進行してしまったケースなど、さまざまな要因があります。
大切なのは「なぜ歯がボロボロになったのか」を正しく見極め、その原因に合わせた治療を行うことです。
当院では、保存治療・入れ歯・ブリッジ・インプラントなど、患者様の症状やご希望に応じて歯の機能と見た目を回復する治療法をご提案しています。
丁寧なカウンセリングのうえで、患者様一人ひとりに合った最適な治療方針を相談しながら一緒に考えますので、まずは安心してご相談ください。
-
目次
こんなお悩みありませんか?
- 歯がグラグラしてうまく噛めない
- むし歯や歯周病で多くの歯を失ってしまった
- 見た目が気になり人前で笑えない
- 入れ歯が合わず、痛くて使いづらい
- 長年歯医者に通っていない
- もう歯を残せないかも、と悩んでいる
歯がボロボロになる原因
歯がボロボロになってしまった背景には、人それぞれの理由があります。
そして大きな原因は「むし歯」と「歯周病」であることが多いのですが、それは体質的な問題よりも
過去の歯科治療の思い出がトラウマとなって受診が難しくなる場合があります。
さらに、治療跡の劣化・不適切なかみ合わせ・歯ぎしりなども歯を弱らせる要因になります。
①むし歯
むし歯は、口腔内のむし歯菌が食べ物や飲み物の糖分を分解にして酸を生成し、その酸によって歯が溶けていく状態です。
初期段階では痛みがほとんどなく、知らず知らずのうちに進行するケースが多いです。歯髄付近までむし歯が達すると、冷たいものや熱いもので痛みが生じたり、何もしない状態で痛みを感じるようになります。
このような状態になる前に治療することが、歯の寿命や噛む機能を守るために重要です。
②歯周病
歯に歯垢や歯石が溜まることで起こる病気です。
歯茎の腫れから始まり、歯を支える骨に炎症を起こします。
初期段階では痛みがなく、歯磨きのときに歯ブラシに血がつく程度のため、歯茎が腫れていても放置される傾向にあります。
歯周病を放置すると歯茎が下がり、歯を支える骨がなくなるため、最終的には歯が抜けてしまいます。
③過去の治療のトラウマ
過去の歯科治療で「麻酔が効かずに強い痛みを感じた」 「無理に治療を進められた」 「説明がなく何をされるのか分からず怖かった」といった経験をされた方は少なくありません。こうした体験がトラウマとなり、歯医者に対して強い恐怖心を抱いてしまうことがあります。その結果、症状があっても受診を先延ばしにし、気づいたときには歯がボロボロになるまで悪化してしまうケースもあります。
④食いしばりや歯ぎしり
睡眠中や無意識での強い食いしばりや歯ぎしりは歯に大きな負担をかけます。
その結果、エナメル質がすり減ったり、歯が欠けたり割れてしまうことがあります。
さらに詰め物や被せ物も外れやすく、外れてしまった箇所をそのまま放置してしまうと症状が悪化し歯がボロボロになる恐れがあります。
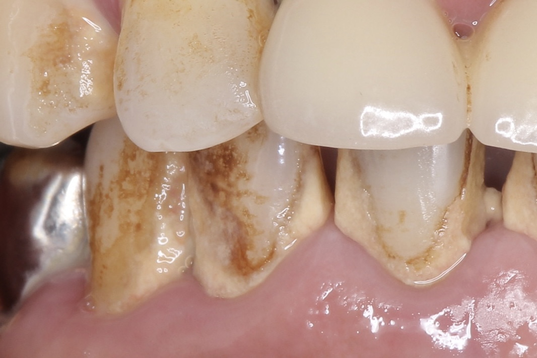
⑤十分でない口腔ケア
歯磨きの回数や方法が不十分だと、歯垢や食べかすが残ってしまいます。
磨き残しはむし歯や歯周病の原因となり、時間が経つと歯石へと変化してさらに落としにくくなります。
そのため、毎日の丁寧なセルフケアと定期的に歯科での検診を受けることをお勧めします。
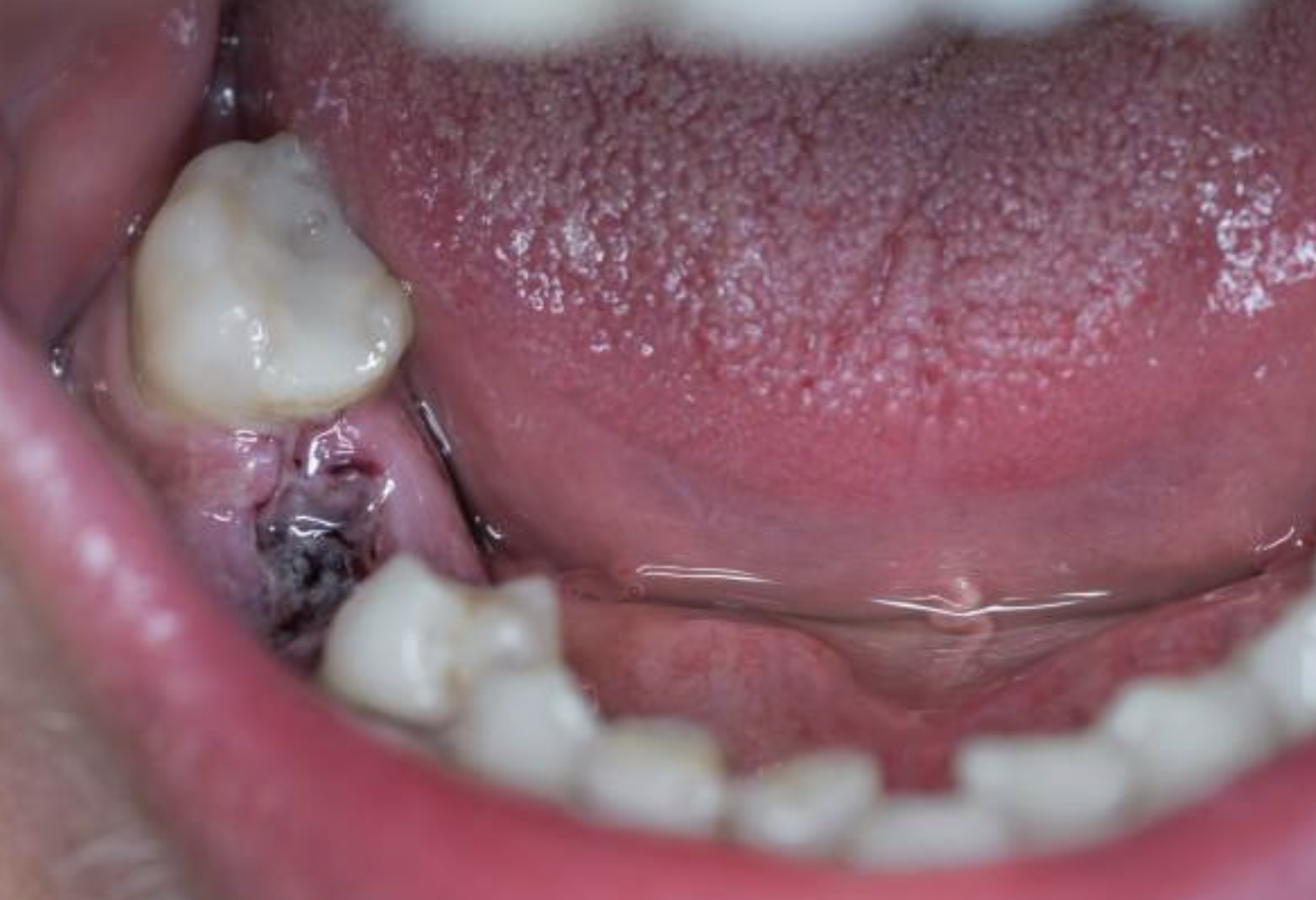
ボロボロの歯を放置するとどうなる?
「歯がボロボロになっているけれど、痛みがないから放置してる…」という方も少なくありません。
しかし、治療せずそのまま放置すると口の中だけでなく全身にもさまざまな悪影響を及ぼす可能性があります。
むし歯や歯周病が深刻な状態へ悪化
ボロボロの歯はすでに細菌の温床となっており、放置すればむし歯や歯周病がさらに進行します。
むし歯は歯の神経まで到達し強い痛みや膿を引き起こし、歯周病は歯を支える骨を溶かして最終的に歯を失う原因となります。
噛み合わせが悪くなる事による影響
歯を失うと噛み合わせが崩れてしまい、一部の歯に大きな力がかかります。そして結果的に他の歯に悪影響を及ぼすことになります。
また、噛む力が低下すると肉や野菜など硬い食べ物を避けるようになり、栄養が偏りやすくなります。
その結果体力の低下や消化不良を招き、全身の健康状態にも影響します。
治療が大掛かりになる
早期に治療すれば小さな詰め物で済むこともありますが、放置した結果、抜歯やブリッジ・入れ歯・インプラントなど大がかりな治療が必要になる場合があります。
費用・期間・身体への負担が増えてしまうのも大きなデメリットです。
歯の状態が悪くて歯医者に行けずに悩んでいる方へ

歯科医院には「歯がボロボロで手遅れかもしれない」、「どこから治療を始めたらいいのかわからない」という状態で来院される方や「歯を見せるのが恥ずかしい」と思う方も多くいらっしゃいますし、そのような患者さまを多く治療してきました。
私たち歯科医院の役割は、そのような方に寄り添い、適切な治療の道筋を一緒に考えていくことです。
治療に必要な費用や期間は、歯の状態やご希望によって変わります。しかし、初診の段階で精密な検査を行い、その結果に基づいて無理のない治療計画をご提示いたしますので、安心してご相談いただけます。
歯科医療は「失った機能や見た目を回復できる医療」です。
歯がボロボロでも、治療を進めていくことで噛む力や見た目を取り戻し、食事や会話を楽しめる生活を再び手に入れることが可能です。
「もう遅いのでは…」と諦めずに、まずは一度ご来院ください。
私たちが専門的な知識と技術で、あなたに最適な治療方法をご提案いたします。
LION歯科・矯正歯科での
ボロボロになってしまった歯に対する治療
原因に応じてアプローチします

口腔内診査やレントゲンの撮影などを行い、原因に応じてアプローチします。
■むし歯
むし歯の前兆(C0)
歯を削らずに、フッ素塗布や再石灰化を促すケアで進行を防ぎます。
軽度のむし歯/エナメル質う蝕(C1)
むし歯部分を最小限削り、白い樹脂(コンポジットレジン)で修復します。
中度のむし歯/象牙質感染(C2)
削った部分にセラミックやインレー(詰め物)、クラウン(被せ物)を用いて見た目と噛む機能を回復します。
重度のむし歯/歯髄感染(C3)
根管治療(歯の神経の治療)を行い、その後クラウンで補強します。
最重度のむし歯/残根(C4)
歯の保存が難しい場合が多いです。抜歯を検討し、インプラント・ブリッジ・入れ歯で機能回復を行います。
■歯周病
クリーニングやスケーリングを行い、原因となる歯垢や歯石を取り除きます。
1回で改善することはできないため、歯磨き指導によるセルフケアと定期的なクリーニングを何回か行いながら、治癒を目指します。
当院ではレーザーによる歯石除去や歯周病菌の殺菌により、より効果的に歯周病を治す治療が可能です。
■歯が欠けたり、割れたりして放置
基本的には抜歯を行い、歯がなくなったところはインプラントやブリッジ、入れ歯をして噛む機能や発音機能を回復させます。
よくある質問
-
歯がボロボロで見せるのが恥ずかしいのですが
受診しても大丈夫ですか? -
ご安心ください。
歯科医師は日々さまざまな症例を診ています。
歯の状態が悪くても驚いたり責めたりすることはありません。
大切なのは「今からどう良くしていくか」です。
-
もう歯がボロボロなのですが、
抜くしかありませんか? -
お口の中を拝見してみないとわかりませんが、必ずしもそうではありません。
状態によっては、歯を残せる治療ができる場合もあります。
残せる歯はできるだけ保存し、必要な場合にのみ抜歯を検討します。
-
痛みが苦手なのですが治療は痛いですか?
-
現在の歯科治療は麻酔の技術が進歩しており、痛みを最小限に抑えることができます。
どうしても不安が強い方には、静脈内鎮静法などリラックスして受けられる方法もあります。
-
どのくらい通院が必要になりますか?
-
歯の状態によって異なります。
重度のむし歯や歯周病の場合は時間がかかることもありますが、まずは応急処置で痛みを和らげ、その後計画的に治療を進めていきます。
-
費用がどのくらい掛かるか心配です。
-
保険診療でできる範囲の治療も多くあります。
治療の選択肢や費用は事前にご説明し、ご納得いただいた上で進めますのでご安心ください。
-
長年放置してしまっていたのですが、
それでも診てもらえますか? -
もちろん大丈夫です。
歯科医院は「今からでも改善したい」というお気持ちを大切にします。放置した期間が長くても治療法は必ずありますので、どうぞ安心してご相談ください。
著者 Writer

- 横井 宏幸
- 役職:理事長/歯科医師
診療日:火・水・木・金・土
医療人として、人間として、
「信頼される歯科医院」を目指します。
【経歴】
神奈川歯科大学 歯学部 卒業
明海大学病院歯周病科 入局
2014年4月2日 LION歯科・矯正歯科 開院
【資格】
日本歯周病学会 認定医
歯科医師臨床研修指導医
歯科医師
【所属】
日本歯周病学会
関連コラム
COLUMN
40代女性の歯周病は手遅れ?|見逃しやすい症状と今...
歯周病はうつる?感染の仕組みと予防策を徹底解説
歯周ポケットとは|数値の目安と治療の必要性を解説
歯周病は手遅れになる?抜歯を避けるために今できるこ...
歯茎から膿が出る原因と治療法|歯周病やむし歯との関...
最新機器エアフローワンによるパウダークリーニングと...
あなたの歯茎は大丈夫?|今すぐできる歯周病のセルフ...
歯周病予防に配慮した歯磨き粉の選び方と成分のポイン...
診療案内
一般歯科
虫歯や詰め物の脱離、口内炎などのさまざまな症状を治療します。
当院では治療に高倍率ルーペを使用することで、肉眼で行う処置よりも精密な診査・診断・治療が可能となっております。
歯周病治療
マイクロスコープやEr:YAGレーザーを使用して、歯周病の早期発見と再発の起こりにくい治療が可能です。
当院には歯周病でお悩みの患者さんが、セカンドオピニオンとして毎月多数来院されます。
院長が歯周病学会認定医のため、経験豊富な専門的知識と技術を駆使し、治療を行います。他医院で抜歯と診断された方も歯を残せる可能性があります。
歯周病でお悩みの方は、ぜひご相談下さい。
インプラント
インプラント治療は人工歯根を骨に埋入して、失った歯の機能を回復する治療方法です。
仕上がりが天然歯に近く、入れ歯やブリッジのように隣接する歯や歯茎に負荷をかけないため、長期的に見るとより多くの歯を残すことが可能です。
セラミック治療・審美歯科
「セラミックで審美性の高い被せ物や詰め物を入れたい」という患者さんのご希望にお答えできるよう、リーズナブルな価格で行えるセラミックを揃えております。
他院で複数の白い歯の治療をお考えの方や銀歯が気になっている方は、ご相談下さい。
根管治療
(マイクロスコープ)
マイクロスコープは、「肉眼で確認できないほどの小さな虫歯、歯石の発見」「歯の根の感染源の除去」を従来よりも精密に行うことができます。
肉眼よりも細かい部分に潜む感染源を精密に除去するこで、すべての患者さんの「なかなか治らない」にお応えしていきます
神経がない歯のウォーキングブリーチ治療
歯の神経が死んでしまった失活歯や無髄歯が黒ずむ現象は、多くの患者様にとって大きな悩みのひとつです。特に前歯など、日常のコミュニケーションで目立つ場所に変色が生じると、その影響は見た目や自信にも関わることがあります。しかし、通常のホワイトニングではこの変色を改善することはできません。 ウォーキングブリーチは、失活歯の内部に漂白剤を入れ、内側から変色を除去して白さを取り戻す治療法です。外見だけでなく、患者様の笑顔にも自信を取り戻していただけるホワイトニング技術です。
ホワイトスポット治療(Icon)
前歯の表面に白斑(ホワイトスポット)が急に出来た、または前からあって気になるなどのお悩みの方はいませんか?Icon治療は、ホワイトスポットを削らずに改善するための治療法です。この治療は虫歯の進行を抑え、審美的な改善を図ることができるため、「白いところが気になるけど歯はなるべく削りたくない…」、「気になるけど、歯科医院で“削る必要がないからそのままで良い”と言われた」等のお悩みのある方におすすめの治療法です。
ホワイト
ニング
当院では、歯科医院にて治療を行う「オフィスホワイトニング」、患者さんがご自宅で行う「ホームホワイトニング」、2つを組み合わせて行う「デュアルホワイトニング」が可能です。
初診時に歯科医師がお口の中を確認し、施術時に知覚過敏やそのほかの副作用が出やすいかどうかなどをしっかりと確認いたします。
矯正・
インビザ
ライン
「お子さまの将来の歯並びが心配」「歯並びが悪くて自信が持てない」「噛み合わせが悪くて食べ物がよく噛めない」などのお悩みを矯正治療で改善します。
当院では小児矯正から成人矯正まで、幅広い年齢層の治療が可能です。
また、短期間で行えるマウスピース矯正や気になるところを部分的に治す部分矯正にも対応しており、患者さんのご希望を考慮した治療方法をご提案いたします。
親知らずの抜歯
親知らずが骨の中に埋まっているような難症例では、親知らずの根が下顎を通る神経の束(下顎管)に接している場合があり、CT撮影にて3次元的に親知らずと下顎管の距離を把握することが大切です。
当院にはCT撮影が可能なレントゲンがあるため、大学病院に紹介されるような難易度の高い親知らずの抜歯も安全に行えます。
親知らずの移植
歯を失った部位に、インプラントやブリッジではなく機能していない(噛んでない)親知らずを移植して、欠損部位の機能回復はかります。
食べ物の歯ざわりなどの感覚をできるだけ残せるというメリットがあります。
入れ歯
保険適用の入れ歯から自費の入れ歯まで、しっかりと噛めるように丁寧に作製いたします。
審美性を考慮した入れ歯やより強度や適合性の高い入れ歯作製にも対応できますので、お作り直しをご希望の方もご相談ください。
静脈内鎮静法
「静脈内鎮静法」は点滴で鎮静薬を投与し、ウトウトとしたリラックス状態で治療を受けられるため、痛みや恐怖心を大幅に軽減できます。
当院には全国の歯科医師の中でもわずか0.5%未満しかいない日本歯科麻酔学会認定医が在籍しており、治療中は血圧・心電図・酸素濃度をモニタリングし、安全に配慮した診療を行っています。
スポーツ用マウスピース
(マウスガード)
スポーツマウスガードは、プレイヤーの安全とパフォーマンスを守る欠かせない装置です。LION歯科・矯正歯科のスポーツマウスガードは、高い保護力と快適な装着感を両立し、さまざまな競技に対応しています。 プロ選手からアマチュアまで、多くの方々に信頼されている当院のスポーツマウスガードで、安心してスポーツを楽しみませんか?
小児歯科
小児歯科はお子さまの成長や乳歯の特性などを考慮して、適切な方法を選択することが大切です。
小児歯科に精通した歯科医師が適切に診断を行ったうえで、焦らず、じっくりとお子さまと向き合い、お子さんの受け入れられる範囲を見極めてスピーディに治療します。
検診・
クリーニング
お口の健康維持や詰め物・被せ物・インプラントなどを長持ちさせるためには、定期的なメンテナンスや歯磨き方法の見直しなどが大切です。
当院では3ヶ月から半年に一度来院していただき、虫歯や歯周病の有無などをチェックすることをおすすめしています。
妊婦歯科検診
妊婦の方を対象としました「無料の歯科検診」を行っています。
横浜市に住民登録している妊婦さんが対象となります。ぜひお問い合わせください。
口腔内スキャナー(光学印象)
詳しく見る
インプラント安定性測定器
詳しく見る
歯科用CT
詳しく見る
当院のご紹介
ABOUT US
LION歯科・矯正歯科
- 住所
-
〒232-0016
神奈川県横浜市南区宮元町2丁目26-3
- 最寄駅
-
横浜市営地下鉄ブルーライン「蒔田駅」徒歩4分
横浜市営地下鉄ブルーライン「吉野町駅」徒歩12分
京浜急行「南太田駅」徒歩11分
京浜急行「井土ヶ谷駅」徒歩17分
- 駐車場
-
なし
| 月 | 火 | 水 | 木 | 金 | 土 | 日 | 祝 | |
|---|---|---|---|---|---|---|---|---|
| 9:00〜13:00 | ● | ● | ● | ● | ● | ● | ● | - |
| 14:30〜18:30 | ● | ● | ● | ● | ● | ▲ | △ | - |
- お電話でのお問い合わせ
-
045-315-5859
- 24時間受付



