ガタガタの歯並びが気になる方へ

「前歯が重なっていて歯磨きがしにくい」
「八重歯っぽく見えて、写真で口元を隠してしまう」
「昔から気になっているけど、今さら治せるのかな…」
歯がデコボコに並んでいる状態は、見た目の悩みだけでなく、磨き残し・むし歯・歯周病・歯茎の炎症につながりやすいのが特徴です。
さらに、噛み合わせのバランスが崩れると、特定の歯に負担が集中して欠け・すり減り・顎の疲れが起こることもあります。
当院では、口腔内スキャナー等で歯並びと噛み合わせを確認し、ワイヤー矯正/マウスピース矯正/小児矯正などから、生活スタイルや顎の成長、ご希望に合わせた治療計画をご提案します。
-
目次
こんなお悩みありませんか?
- 歯が重なっていてフロスが通らない
- 前歯のガタつきが気になり、人前で笑いづらい
- 八重歯・段差が目立つ
- 歯並びが原因で歯茎が腫れやすい/出血しやすい
- いつも同じ場所がむし歯になる
- 噛みにくい、顎が疲れる、食いしばりが強い気がする
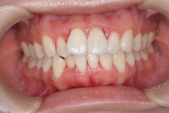
ガタガタの歯(叢生)とは
ガタガタの歯(叢生・そうせい)とは、本来なだらかなアーチ状に並ぶはずの歯列に十分なスペースが確保できず、歯が重なったり、ねじれたり、前後にずれて生えている状態を指します。
特に前歯に起こりやすく、
・歯と歯が部分的に重なっている
・1本だけ内側や外側に飛び出している
・歯の向きが回転している
といった形で現れるのが特徴です。
また、犬歯が歯列の外側に出ている状態は、見た目から「八重歯」と呼ばれることがありますが、医学的にはこれも叢生の一種に含まれます。
叢生は「見た目の問題」だけと思われがちですが、歯が重なっている部分は歯ブラシが届きにくく、磨き残しが起こりやすいため、むし歯や歯周病のリスクが高くなる傾向があります。
さらに、噛み合わせのバランスが崩れることで、特定の歯に負担が集中し、歯のすり減りや欠け、歯茎の炎症につながることもあります。
ガタガタの歯になる主な原因
歯が並ぶスペース不足(顎と歯のサイズバランス)
顎の幅に対して歯が大きい、顎の成長が小さいなど、並ぶ場所が足りないと歯が前後にずれて重なりやすくなります。
乳歯のむし歯・早期喪失/生え変わりの影響
乳歯が早く抜けたり、むし歯で形が崩れたりすると、永久歯が生えるスペースが乱れて歯並びに影響することがあります。
習癖(くせ)
口呼吸、舌で前歯を押す癖、頬杖、噛み癖などが続くと、歯列に偏った力がかかり、ガタつきが強くなることがあります。
親知らずの影響(個人差あり)
親知らずが生える力で前歯が押される、と言われることがありますが、影響は個人差があります。状態を見て判断します。
放置すると起こりやすいこと
1.むし歯・歯周病のリスクが上がる
重なり部分は歯ブラシが届きにくく、汚れが溜まりやすくなります。
その結果、むし歯や歯周病、歯茎の腫れ・出血につながりやすくなります。
2.歯茎が下がる/黒い三角(すき間)が目立つことがある
炎症が続くと歯茎が下がりやすく、見た目や知覚過敏につながることがあります。
3.噛み合わせの負担が偏る
一部の歯だけが強く当たり、欠け・すり減り・詰め物が外れやすいなどのトラブルが起こることがあります。
4.口元の見た目・発音の悩み
写真で口元を隠してしまう、滑舌が気になるなど、日常のストレスになることもあります。
ガタガタの歯の治し方(当院でご提案できる治療)
※ガタつきの量、噛み合わせ、歯茎や骨の状態によって最適解は変わります。
まずは検査で「動かせる範囲」と「優先順位」を整理します。
矯正治療(歯を並べて根本改善)
・マウスピース矯正:見た目が目立ちにくく、取り外しが可能
・ワイヤー矯正:幅広い症例に対応しやすい(細かな調整が可能)
ガタガタの歯(叢生)は、矯正で改善できることが多い不正咬合のひとつです。
小児矯正(成長を利用して並ぶ土台を整える)
お子さまの場合、顎の成長を活かして将来の叢生リスクを下げるアプローチが可能です(適応時期があります)。
必要に応じたスペース確保(抜歯/IPRなど)
歯を並べるスペースが足りない場合、以下を組み合わせることがあります。
・抜歯(バランスを見て判断)
・IPR(歯の側面をわずかに整える処置)
・奥歯の移動・拡大の検討(状態により)
先にむし歯・歯周病を整える(矯正前の土台作り)
歯茎に炎症がある場合は、先にクリーニングや歯周病治療を行い、矯正しやすい環境を整えます。
受診の目安(セルフチェック)
よくある質問
-
ガタガタの歯は何歳からでも治せますか?
-
多くの場合、成人の方でも矯正治療は可能です。
歯茎や骨の状態、被せ物の有無などを確認して方針を決めます。
-
マウスピースとワイヤー、どっちが向いていますか?
-
見た目・取り外し・通院頻度・ガタつきの強さなどで向き不向きがあります。
検査後にメリット・注意点を比較してご提案します。
-
期間はどのくらいですか?
-
歯の動きやすさ・ガタつきの量で個人差があります。
まず検査で概算の見通しをお伝えします。
-
矯正中、むし歯になりやすいですか?
-
装置の種類により清掃性が変わります。
必要に応じてクリーニングや歯磨き指導を組み合わせ、リスクを下げます。
著者 Writer

- 横井 宏幸
- 役職:理事長/歯科医師
診療日:火・水・木・金・土
医療人として、人間として、
「信頼される歯科医院」を目指します。
【経歴】
神奈川歯科大学 歯学部 卒業
明海大学病院歯周病科 入局
2014年4月2日 LION歯科・矯正歯科 開院
【資格】
日本歯周病学会 認定医
歯科医師臨床研修指導医
歯科医師
【所属】
日本歯周病学会
関連コラム
COLUMN
マウスピース矯正で滑舌は悪くなる?仕事への影響と対...
埋伏歯とは|原因・症状・治療法・放置するリスクを詳...
すきっ歯(空隙歯列)とは?原因・矯正治療・前歯のす...
出っ歯(上顎前突)とは?原因・悪影響・治し方を詳し...
過剰歯とは|原因・症状・治療法を分かりやすく解説
歯並びが悪いとどうなる?原因・リスク・治療法をわか...
目立たない部分矯正「インビザラインGO」とは?
アデノイド顔貌とは?特徴・原因・口ゴボとの違いと治...
診療案内
一般歯科(むし歯)
むし歯や詰め物の脱離、口内炎などのさまざまな症状を治療します。
当院では治療に高倍率ルーペを使用することで、肉眼で行う処置よりも精密な診査・診断・治療が可能となっております。
歯周病治療
マイクロスコープやEr:YAGレーザーを使用して、歯周病の早期発見と再発の起こりにくい治療が可能です。
当院には歯周病でお悩みの患者さんが、セカンドオピニオンとして毎月多数来院されます。
院長が歯周病学会認定医のため、経験豊富な専門的知識と技術を駆使し、治療を行います。他医院で抜歯と診断された方も歯を残せる可能性があります。
歯周病でお悩みの方は、ぜひご相談下さい。
インプラント
インプラント治療は人工歯根を骨に埋入して、失った歯の機能を回復する治療方法です。
仕上がりが天然歯に近く、入れ歯やブリッジのように隣接する歯や歯茎に負荷をかけないため、長期的に見るとより多くの歯を残すことが可能です。
セラミック治療・審美歯科
「セラミックで審美性の高い被せ物や詰め物を入れたい」という患者さんのご希望にお答えできるよう、リーズナブルな価格で行えるセラミックを揃えております。
他院で複数の白い歯の治療をお考えの方や銀歯が気になっている方は、ご相談下さい。
根管治療
(マイクロスコープ)
マイクロスコープは、「肉眼で確認できないほどの小さなむし歯、歯石の発見」「歯の根の感染源の除去」を従来よりも精密に行うことができます。
肉眼よりも細かい部分に潜む感染源を精密に除去するこで、すべての患者さんの「なかなか治らない」にお応えしていきます
神経がない歯のウォーキングブリーチ治療
歯の神経が死んでしまった失活歯や無髄歯が黒ずむ現象は、多くの患者様にとって大きな悩みのひとつです。特に前歯など、日常のコミュニケーションで目立つ場所に変色が生じると、その影響は見た目や自信にも関わることがあります。しかし、通常のホワイトニングではこの変色を改善することはできません。 ウォーキングブリーチは、失活歯の内部に漂白剤を入れ、内側から変色を除去して白さを取り戻す治療法です。外見だけでなく、患者様の笑顔にも自信を取り戻していただけるホワイトニング技術です。
ホワイトスポット治療(Icon)
前歯の表面に白斑(ホワイトスポット)が急に出来た、または前からあって気になるなどのお悩みの方はいませんか?Icon治療は、ホワイトスポットを削らずに改善するための治療法です。この治療はむし歯の進行を抑え、審美的な改善を図ることができるため、「白いところが気になるけど歯はなるべく削りたくない…」、「気になるけど、歯科医院で“削る必要がないからそのままで良い”と言われた」等のお悩みのある方におすすめの治療法です。
ホワイト
ニング
当院では、歯科医院にて治療を行う「オフィスホワイトニング」、患者さんがご自宅で行う「ホームホワイトニング」、2つを組み合わせて行う「デュアルホワイトニング」が可能です。
初診時に歯科医師がお口の中を確認し、施術時に知覚過敏やそのほかの副作用が出やすいかどうかなどをしっかりと確認いたします。
矯正・
インビザ
ライン
「お子さまの将来の歯並びが心配」「歯並びが悪くて自信が持てない」「噛み合わせが悪くて食べ物がよく噛めない」などのお悩みを矯正治療で改善します。
当院では小児矯正から成人矯正まで、幅広い年齢層の治療が可能です。
また、短期間で行えるマウスピース矯正や気になるところを部分的に治す部分矯正にも対応しており、患者さんのご希望を考慮した治療方法をご提案いたします。
親知らずの抜歯
親知らずが骨の中に埋まっているような難症例では、親知らずの根が下顎を通る神経の束(下顎管)に接している場合があり、CT撮影にて3次元的に親知らずと下顎管の距離を把握することが大切です。
当院にはCT撮影が可能なレントゲンがあるため、大学病院に紹介されるような難易度の高い親知らずの抜歯も安全に行えます。
親知らずの移植
歯を失った部位に、インプラントやブリッジではなく機能していない(噛んでない)親知らずを移植して、欠損部位の機能回復はかります。
食べ物の歯ざわりなどの感覚をできるだけ残せるというメリットがあります。
入れ歯
保険適用の入れ歯から自費の入れ歯まで、しっかりと噛めるように丁寧に作製いたします。
審美性を考慮した入れ歯やより強度や適合性の高い入れ歯作製にも対応できますので、お作り直しをご希望の方もご相談ください。
静脈内鎮静法
「静脈内鎮静法」は点滴で鎮静薬を投与し、ウトウトとしたリラックス状態で治療を受けられるため、痛みや恐怖心を大幅に軽減できます。
当院には全国の歯科医師の中でもわずか0.5%未満しかいない日本歯科麻酔学会認定医が在籍しており、治療中は血圧・心電図・酸素濃度をモニタリングし、安全に配慮した診療を行っています。
スポーツ用マウスピース
(マウスガード)
スポーツマウスガードは、プレイヤーの安全とパフォーマンスを守る欠かせない装置です。LION歯科・矯正歯科のスポーツマウスガードは、高い保護力と快適な装着感を両立し、さまざまな競技に対応しています。 プロ選手からアマチュアまで、多くの方々に信頼されている当院のスポーツマウスガードで、安心してスポーツを楽しみませんか?
小児歯科
小児歯科はお子さまの成長や乳歯の特性などを考慮して、適切な方法を選択することが大切です。
小児歯科に精通した歯科医師が適切に診断を行ったうえで、焦らず、じっくりとお子さまと向き合い、お子さんの受け入れられる範囲を見極めてスピーディに治療します。
検診・
クリーニング
お口の健康維持や詰め物・被せ物・インプラントなどを長持ちさせるためには、定期的なメンテナンスや歯磨き方法の見直しなどが大切です。
当院では3ヶ月から半年に一度来院していただき、むし歯や歯周病の有無などをチェックすることをおすすめしています。
妊婦歯科検診
妊婦の方を対象としました「無料の歯科検診」を行っています。
横浜市に住民登録している妊婦さんが対象となります。ぜひお問い合わせください。
口腔内スキャナー(光学印象)
詳しく見る
インプラント安定性測定器
詳しく見る
電気診(電気歯髄診断/EPT)
詳しく見る
歯科用CT
詳しく見る
当院のご紹介
ABOUT US
LION歯科・矯正歯科
- 住所
-
〒232-0016
神奈川県横浜市南区宮元町2丁目26-3
- 最寄駅
-
横浜市営地下鉄ブルーライン「蒔田駅」徒歩4分
横浜市営地下鉄ブルーライン「吉野町駅」徒歩12分
京浜急行「南太田駅」徒歩11分
京浜急行「井土ヶ谷駅」徒歩17分
- 駐車場
-
なし
| 月 | 火 | 水 | 木 | 金 | 土 | 日 | 祝 | |
|---|---|---|---|---|---|---|---|---|
| 9:00〜13:00 | ● | ● | ● | ● | ● | ● | ● | - |
| 14:30〜18:30 | ● | ● | ● | ● | ● | ▲ | △ | - |
- お電話でのお問い合わせ
-
045-315-5859
- 24時間受付


